Columbia Invisalign Dentist
Straighten your smile with ease
The clear path to a perfect smile
Crooked teeth, gaps, and bite issues can impact more than your confidence — they can also affect your oral health. Invisalign offers a nearly invisible, comfortable solution for straightening your teeth without the hassle of traditional braces.
Our Columbia Invisalign dentists specialize in customized clear aligner treatments designed to address your unique needs while fitting seamlessly into your lifestyle. Whether you’re a teenager or an adult, Invisalign aligners are tailored to deliver precise results while allowing you to eat, brush, and floss normally.

Proudly an Invisalign Gold+ Provider
Our approach to Invisalign treatment
- Personalized consultation: We begin with a detailed evaluation using advanced iTero scanning technology to create a custom treatment plan for your ideal smile.
- Custom aligners: Each aligner is designed to gradually and comfortably shift your teeth into place, addressing your specific orthodontic needs.
- Ongoing monitoring: Regular check-ins ensure your progress stays on track and any adjustments are made promptly.
- Supportive guidance: We provide clear instructions and support throughout the process to ensure you feel confident every step of the way.
See your Invisalign smile in seconds!
1. Use the QR code or follow this link if already on mobile
2. Follow the prompt and snap your selfie
3. See your new smile
Why Choose Us
A straighter smile without discomfort
Advanced 3D imaging technology
Flexible treatment for all ages
Eat and brush as normal
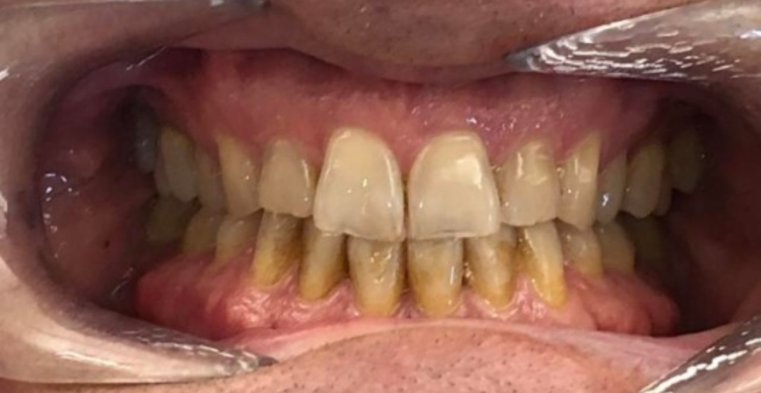
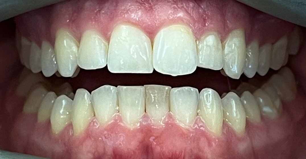
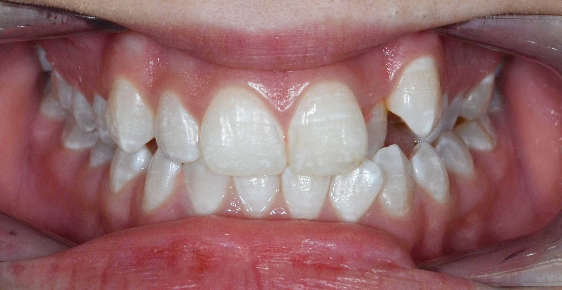
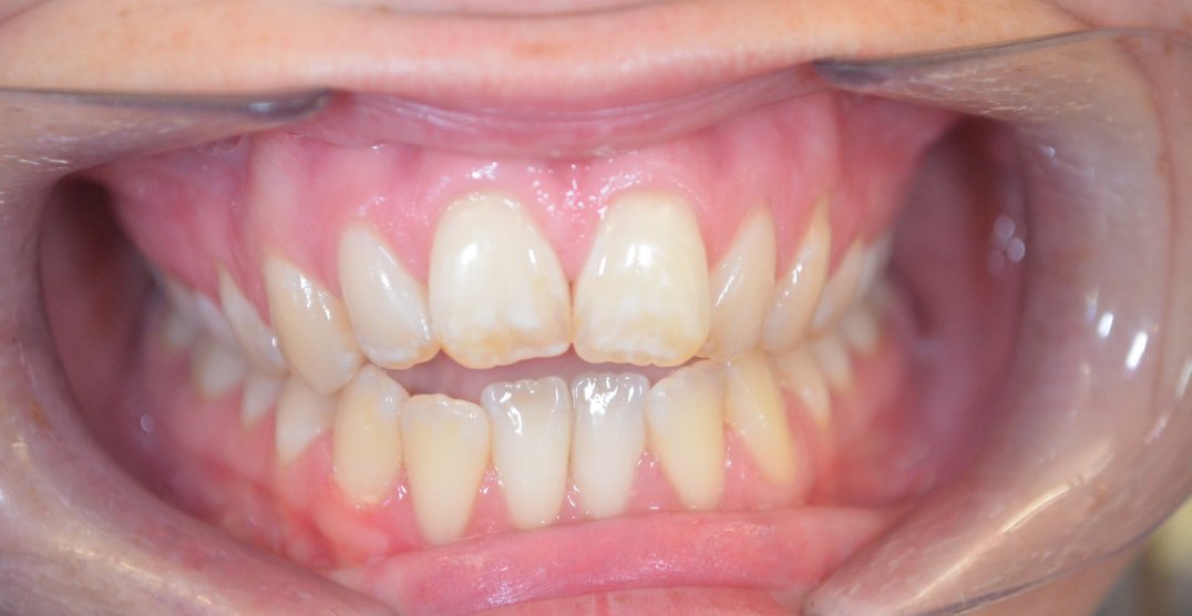
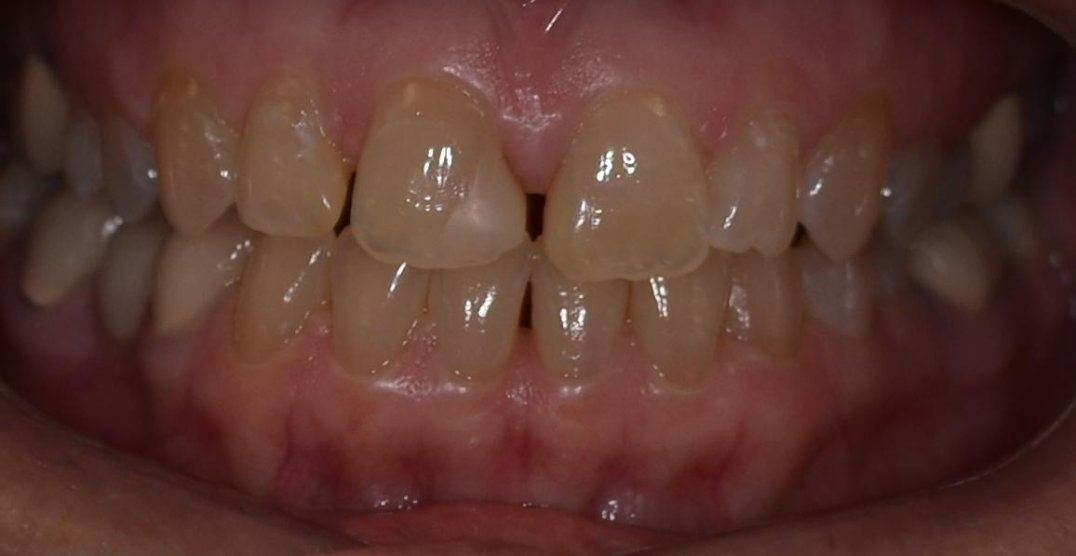
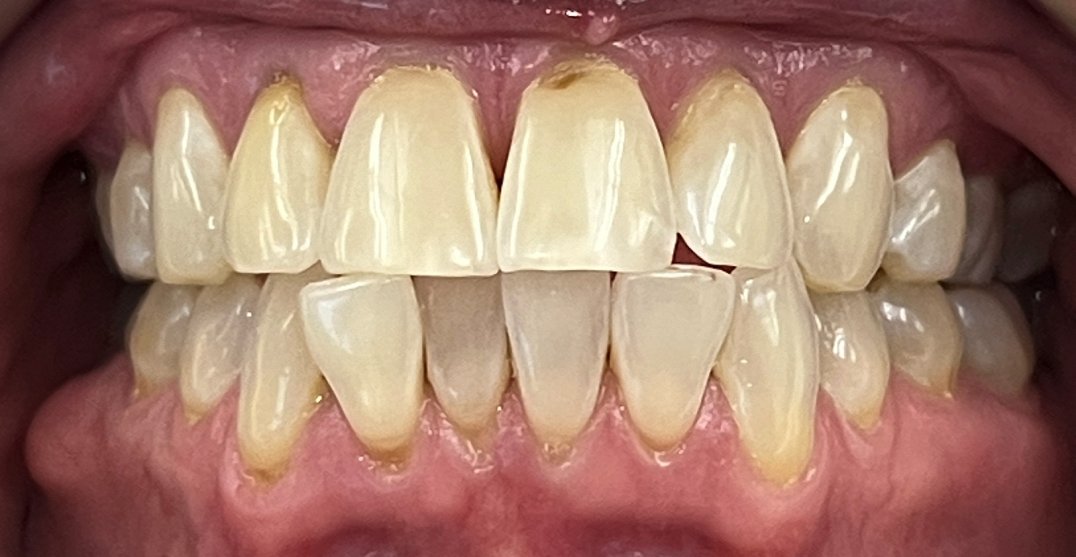
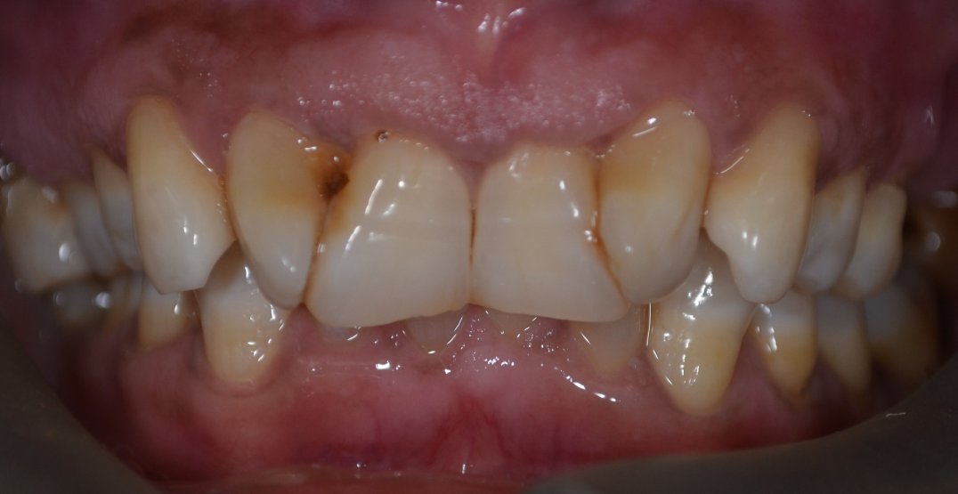
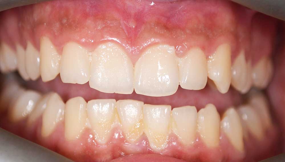
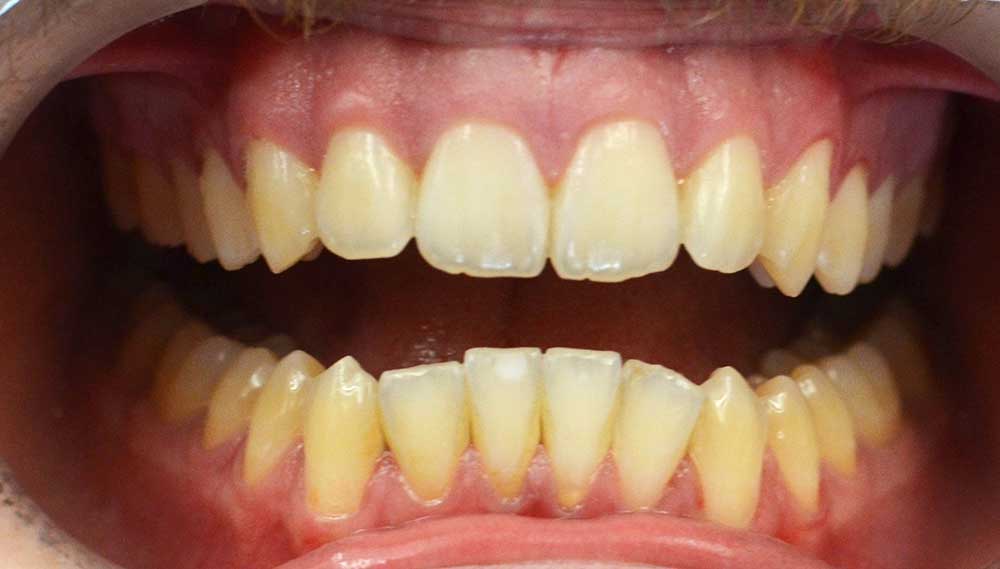
Smile Transformations












Answers to your questions
How does Invisalign work?
What is an Invisalign Gold+ provider, and why does it matter?
A Gold+ provider has advanced experience with Invisalign and a strong history of successful cases. It means you’re choosing a team that knows how to deliver reliable, confident results.
How long does treatment take?
Is Invisalign right for me?
Invisalign is a great option for teens and adults looking to improve both the function and appearance of their smile. It’s ideal for those with mild to moderate crowding, spacing, overbites, underbites, or crossbites. In addition to cosmetic improvements, Invisalign can help with bite alignment, make teeth easier to clean (which supports better long-term oral health), and even reduce jaw discomfort caused by misaligned teeth. If you’re looking for a discreet, removable alternative to braces, Invisalign may be the right fit.
Are Invisalign aligners comfortable?
Yes — Invisalign is designed with comfort in mind. The aligners are made from SmartTrack® material, a patented, medical-grade plastic developed after years of research to ensure gentle yet effective tooth movement. Unlike traditional braces, there are no wires or metal brackets, which means fewer pokes and irritation.
Each tray is also scalloped to match your gumline, which reduces pressure on the gums and makes the aligners more comfortable and less noticeable. While you may feel light pressure as your teeth shift, most patients find Invisalign far more comfortable than braces.
We also use small, tooth-colored attachments when needed to help guide your teeth into more complex positions. These are bonded to the teeth temporarily and work with your aligners to improve precision and results.
Invisalign is backed by decades of research, with over 15 million smiles treated worldwide. The system is continuously refined to improve fit, comfort, and results — so you can feel confident that your treatment is based on science, not guesswork.
How often do I need check-ups?
Most patients are seen about every 12 weeks during their Invisalign journey. These check-ups allow us to ensure your aligners are tracking properly — meaning your teeth are moving as planned. We’ll also check any attachments (the small tooth-colored buttons that help guide tooth movement) to make sure they’re secure and doing their job. Fewer visits don’t mean less attention — our team closely monitors your progress through digital scans and regular assessments to keep your smile on track.
State-of-the-art care with a personal touch
From your first consultation to your final aligner, you’ll enjoy attentive, comfortable care designed to fit your lifestyle. We’re here to help you love your smile again.
Simple savings for lasting smiles
Our Patient Care Discount Plan is designed to make high-quality dental care affordable and accessible. For a low annual fee, members receive free preventive care and exclusive discounts on other treatments.
Start saving on your dental health today with benefits that begin immediately!
- No Yearly Maximums
- No Deductibles
- No Pre-Existing Condition Exclusions
Annual Plan Rates:
Adult (First Member on Plan)
$439
$339
Benefits Include:
- 2 Dental Exams
- 2 Preventative Cleanings
- Annual Oral Cancer Screening
- 2 Fluoride Treatments (Children Only)
- 1 Full-Mouth X-Ray & 1 Set of Bitewing X-Rays
- 1 iTero Diagnostic Dental Scan
- 20% Off Restorative, Periodontal, & Whitening Services
- 10% Off Invisalign
An $846 Value!
Our Columbia dentist’s office
1514 Hatcher Lane
Columbia, TN 38401
Get Directions
Tuesday-Wednesday 8:00AM-5:00PM
Thursday 8:00AM-2:00PM
We’ll be closed Nov 26–27 and Dec 22 – Jan 2 for the holidays. View Holiday Info
Join the Columbia Dental Group family today!
Ready to experience the difference proactive care can make? Call or click below to get started.







